勃起困难、勃起不给力、勃起后很快疲软都是勃起功障碍(ED)的一种表现。ED是男性常见的疾病,严重影响性伴侣双方和睦和降低性生活质量。
ED可源于不同的病理生理过程,通常分为器质性、心理性和混合型3种类型。
美国一项权威调查数据显示,在40-70岁的男性汇总中,ED患者占52%,过去认为勃起功能障碍的主要原因是心理性的,近年来随着检查手段的不断提高,发现80%的ED患者存在不同程度的器质性病变。
器质性ED主要有血管、神经、内分泌以及阴茎本身疾病等因素。
今天丁小编主要科普血管因素引起的器质性ED(称为血管性ED)。

因为血管性ED更为常见,它分为动脉性和静脉性两类,共占所有患者的50%-70%,因此正确诊断和治疗血管性ED就显得尤为重要。
血管性ED的临床特点
阴茎勃起是一个复杂的血流动力学过程,保持阴茎血管系统结构和功能的完整是维持阴茎正常勃起的基本条件。
血管性ED正是男性阴茎内部血管发生某种病变,造成阴茎内部动脉供血不足或静脉阻碍关闭机制失调等,导致男性发生阴茎勃起障碍。
按照病因可分为“动脉性ED”和“静脉性ED”两类。
动脉性ED常见于:主骼动脉及阴部动脉粥样硬化、下尿道损伤、骨盆骨折等因素导致的阴茎海绵体动脉管腔狭窄,使阴茎完全勃起硬度不足;
静脉性ED是在动脉灌注充足,但是静脉出现泄漏引起的勃起功能障碍,此时动脉的血流灌注量不能补偿静脉的泄漏量,从而使阴茎勃起不能达到足够的硬度。

对每一位勃起功能患者都应该询问病史和全面的体格检查,据此可以基本鉴别是器质性ED还是心理性ED,然后进一步的血管系统检查可以明确病变的性质和部位。
血管性ED,丁丁可以做B超吗?
B超,即B型超声检查,其运用高频率声波对人体内部组织、器官成像,便于观察组织的形态。
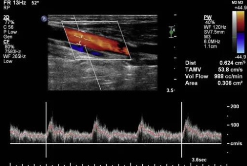
超声是一种成像方式,除了具有良好的耐受性和广泛使用性外,还被认为是评估阴茎勃起功能障碍极好方法,常用是阴茎彩色多普勒超声检查(CDDU)。

阴茎海绵体是均质的圆柱形结构,具有中等回声和均匀的回声纹理。
海绵体内衬白膜,白膜是一种薄膜,阴茎松弛时厚度约为 2 毫米,勃起时厚度约为 0.25 毫米,白膜表现为围绕语料库的薄的线性高回声结构(通常厚度小于2毫米),在海绵体之间,经常可以看到后部声影区域,它对应于阴茎间隔。
在两个海绵体中,海绵体动脉被视为狭窄的管状结构,纵平面有回声壁,横平面有回声点。
背静脉出现在阴茎背侧,表现为无回声的可压缩小管,通常在彩色多普勒超声上可检测到血流。
因此,血管性ED,丁丁可以做B超。

血管性ED,丁丁可以做CT吗?
CT即计算机断层扫描,扫描仪使用 X 射线(一种特殊类型的辐射)和计算机来拍摄您身体内部的照片,它类似于普通的 X 射线,但它拍摄了大量身体切片(横截面)的照片,而不仅仅是一张照片。
因为CT在扫描的时候存在较大的辐射,尤其是阴茎属于比较脆弱的器官,一般不建议用CT检查血管性ED。
事实上,阴茎用CT检查通常是用来检查某些癌症,包括检测异常肿瘤、生长或肿块。他们还确定肿瘤的位置、癌症的阶段以及进行活检的位置。
因此,血管性ED,丁丁最好不要做CT检查。

血管性ED如何治疗呢?
从理论上上讲,治疗血管性ED的有效方法应该是血管手术。
血管手术的主要目的是将原来减少的动脉基础血量提高到较高的水平,同时减少静脉的回流量,以增加阴茎海绵体血流,维持阴茎勃起。
1、增加动脉供血手术
主要包括腹壁下动脉-阴茎海绵体吻合术、腹壁下动脉-阴茎背动脉吻合术。股动脉-静脉桥-阴茎背动脉吻合术等。
手术适应症包括:年龄小于55岁、不吸烟或者已戒烟者、未合并糖尿病、无静脉瘘存在、无广泛血管病变等。
2、减少静脉回流的血管手术
主要包括阴茎背深静脉结扎术。阴茎深静脉结扎术、阴茎海绵体松懈术、阴茎脚结扎术等。
手术适应症包括:单纯静脉漏,海绵体平滑肌及白膜结构功能正常、阴茎海绵体动脉供血不足等。
3、阴茎假体植入术
阴茎假体分为2种类型,非膨胀性和可膨胀性。
非膨胀性假体通常也指半硬棒柱体,适用于不能灵活操作者(帕金森病、高龄虚弱)或难以负担可膨胀性假体高昂费用者。
患者应该充分了解:
阴茎假体是ED治疗的最后选择,如果因为各种原因取出,海绵体组织的破坏将会使其他的治疗效果降低或无效;
术后阴茎勃起和疲软与生理性状况存在差异;
术后的并发症,如感染、侵蚀;
再次手术的可能性;
4、其他治疗方式
血管性ED除了手术治疗外,还可以使用药物治疗。
PDE5抑制剂通过抑制PDE5,提高水解环鸟苷酸的浓度,促使阴茎海绵体平缓肌舒张而增大阴茎动脉血流,从而促进阴茎勃起,对治疗血管性ED有一定的疗效。
临床上常用的PDE5抑制剂有西地那非、他达拉非和伐地那非。